BMC News
News and Events
Skip to content
Latest BMC News
Flow Core Facility at BMC LMU Munich Renews ISAC SRL Status
We are pleased to announce that the Flow Core Facility of the Biomedical Center (BMC) at LMU Munich has been officially recognised by the International Society for the Advancement of Cytometry (ISAC) for the period 2025–2028.
Read more
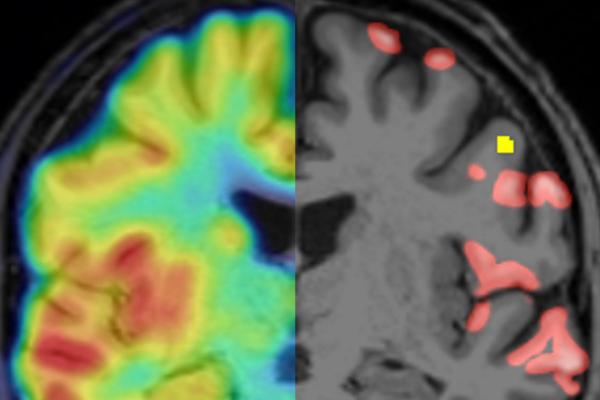
Using PET-imaging to detect cortical synapse loss in multiple sclerosis
A team around Martin Kerschensteiner has demonstrated for the first time that positron emission tomography (PET) can be used to visualise synapse loss in MS lesions in the cerebral cortex.
Read more
Ten Years of the Biomedical Center: From Vision to Scientific Impact
Last Thursday, the Biomedical Center (BMC) of LMU Munich celebrated its tenth anniversary. The ceremony and symposium were attended by both colleagues and long-time collaborators of the BMC.
Read more
Chromatin and Neurodevelopment: An Interview with Prof. Dr. M. Felicia Basilicata
On 1 September 2025, Prof. Dr. M. Felicia Basilicata was welcomed as the new research group leader at the Biomedical Center (BMC) of LMU Munich.
Read more
New Tool Improves Detection of Extracellular Vesicles
A research team around Prof Thomas Brocker and Jan Kranich has now developed a novel high-affinity reagent.
Read more
Making Research More Sustainable: Insights from the BMC Green Lab Initiative
Jan Bartosch is an active member of the BMC Green Lab Initiative — a group of employees from various career stages working together to promote more sustainable practices in research labs.
Read moreEvents
Trailblazer Lecture by Giulio Superti-Furga
On October 28th, Giulio Superti-Furga will talk about "Membrane transporters as mediators of physiology across cells and ecosystems"
Read moreScientific Seminar Series
For the scientific community